مرکز تحقیقات اورولوژی | مزایای فنی بالقوه موقعیت شکم و لگن برای درمان سنگ‌های دستگاه ادراری فوقانی و ارزیابی اثربخشی آن با استفاده از توموگرافی کامپیوتری (CT)

مرکز تحقیقات اورولوژی | مزایای فنی بالقوه موقعیت شکم و لگن برای درمان سنگ‌های دستگاه ادراری فوقانی و ارزیابی اثربخشی آن با استفاده از توموگرافی کامپیوتری (CT)
لوگو

مرکز تحقیقات ارولوژی

دانشگاه علوم پزشکی تهران

مزایای فنی بالقوه موقعیت شکم و لگن برای درمان سنگ‌های دستگاه ادراری فوقانی و ارزیابی اثربخشی آن با استفاده از توموگرافی کامپیوتری (CT)

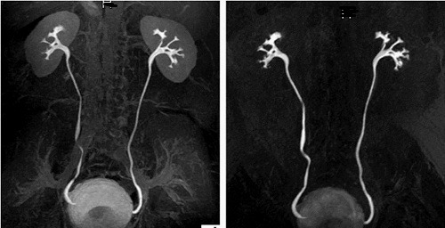
موقعیت شکم و لگن در درمان سنگ‌های دستگاه ادراری فوقانی، به ویژه برای سنگ‌های بزرگتر و یا در مواردی که سنگ در حال پیشرفت است، می‌تواند مزایای فنی بالقوه‌ای داشته باشد. این مزایا شامل بهبود دید و دسترسی جراح به سنگ، کاهش خطر آسیب به بافت‌های اطراف، و افزایش احتمال موفقیت در درمان است. ارزیابی اثربخشی این روش با استفاده از توموگرافی کامپیوتری (CT) به دلیل توانایی آن در ارائه تصاویر دقیق از ساختارهای داخلی، از جمله سنگ‌ها و بافت‌های اطراف، اهمیت دارد.

یک تجزیه و تحلیل گذشته‌نگر بر روی داده‌های بالینی ۱۶ بیمار زن که بین ژوئیه و سپتامبر ۲۰۲۴ تحت عمل جراحی داخل کلیوی رتروگراد (fURS) برای سنگ‌های دستگاه ادراری فوقانی در موقعیت شکم و لگن در بیمارستان ما قرار گرفتند، انجام شد. همه بیماران با استفاده از یورتروسکوپ‌های انعطاف‌پذیر تحت درمان قرار گرفتند و قبل و بعد از عمل، سی‌تی‌اسکن برای ارزیابی نتایج جراحی دریافت کردند.
همه جراحی‌ها با موفقیت در موقعیت شکم و لگن انجام شد و میانگین زمان عمل ۶۲.۲۵ ± ۲۵.۹۲ دقیقه بود. میزان دفع فوری سنگ ۱۰۰٪ بود و هیچ عارضه‌ای مشاهده نشد.
جراحی داخل کلیوی رتروگراد در موقعیت شکم و لگن، یک درمان مؤثر برای سنگ‌های دستگاه ادراری فوقانی در بیماران زن است. این موقعیت، دسترسی از طریق اورتروسکوپی به لگنچه کلیه و قرار دادن غلاف‌های راهنمای حالب را تسهیل می‌کند، میزان دفع فوری سنگ را بهبود می‌بخشد، فشار داخل کلیوی را کاهش می‌دهد و یک روش درمانی کارآمد، اقتصادی و ایمن را ارائه می‌دهد.
مدیر سایت
تهیه کننده:

مدیر سایت

0 نظر برای این مطلب وجود دارد

ارسال نظر

نظر خود را وارد نمایید:

متن درون تصویر را در جعبه متن زیر وارد نمائید *
متن مورد نظر خود را جستجو کنید
تنظیمات پس زمینه